• Welcome To Aditya Eye Hospital

Case Studies

SURGICAL RESULTS – COMPARE AND CONTRAST

Following is a small collection of the pre-op and post-op comparative pictures of cases operated by Dr Anurag Thakral:

Case 1

A Case of Eale's Proliferative Retinopathy with Vitreous Hemorrhage

Pre-op Pictures

Service

Post-Op Picture Following Pars Plana Vitrectomy with EndoLase

Service

Case 2

A Case of Vitreomacular Traction (VMT) with Macular detachment

Pre-op Pictures

Service
Service

Pictures 1 week post-op Following Vitrectomy With Posterior Vitreous Peeling + Epiretinal Membrane(ERM) Peeling + Internal Limiting Membrane (ILM) Peeling, “Triple Peeling” procedure

Post-op Pictures

Service
Service

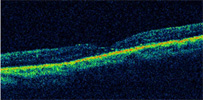
OCT Image of the same eye at 6 months post-operative (Sub Foveal Fluid has Resolved)

Service

Case 3

A Case of Post Buckle EpiMacular Membrane (EMM) with Macular Edema

Pre-op Pictures

Service
Service

1Week Postop Pictures Following Vitrectomy + ERM Removal + ILM Removal

Post-op Pictures

Service
Service

Case 4

Proliferative Vitreoretinopathy (PVR) is a condition in which Contractile membranes develop on the surface (both outer and inner) of detached retina causing folding and wrinkling of the retinal surface. Reattachment of such retina requires a Pars plana vitrectomy with elaborate peeling of all such membranes, sometimes requiring traction relieving retinotomies/retinectomies,with the injection of silicone oil as tamponading agent.

Pictures of Such a Case are shown below:

Pre-op Pictures

Service
Service
Service

Post-op Pictures

Service

Case 5

Another Case of Total Retinal Detachment with PVR with Hazy Vitreous

Pre-op Pictures

Service

Post-op Picture Following Pars Plana Vitrectomy with Silicone-oil Injection

Post-op Pictures

Service

Case 6

A case of Sub Silicone oil Proliferation with ‘Macular Drag’

Pre-op Pictures

Service

Post operative Picture following Membrane peeling (Note that the Silicone oil has also been removed)

Post-op Pictures

Service

Case 7

A case of Sub Silicone oil Proliferation with ‘Macular Drag’

Pre-op Pictures

Service

Post operative Picture following Membrane peeling (Note that the Silicone oil has also been removed)

Post-op Pictures

Service